Tokyo Tour

Mount Fuji Sign

Gallery Japan Tokyo Mount Fuji Sign
hangovereurope.com

Winter Accidents On Mount Fuji Show No Sign Of Abating Nippon Com
www.nippon.com

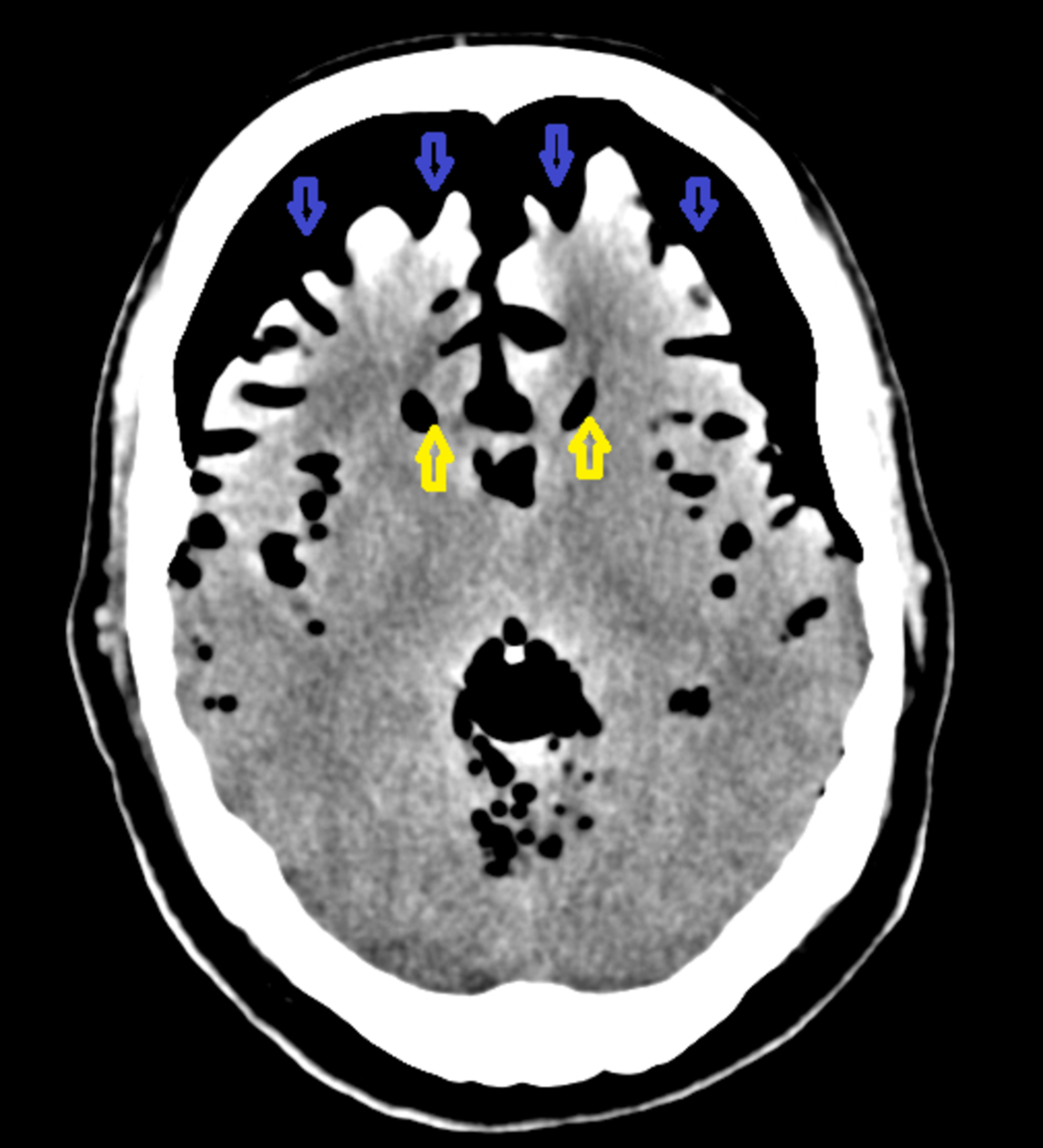
Mt Fuji Sign Axial View A Of A Head Ct Scan On Bone Window There Download Scientific Diagram
www.researchgate.net

Mount Fuji Sign High Resolution Stock Photography And Images Alamy
www.alamy.com

Mount Fuji And Summit Sign On Top Of Mount Kobushigatake Stock Photo Download Image Now Istock
www.istockphoto.com

Epos Trade
epos.myesr.org

Abc Radiology Blog The Mount Fuji Sign
abcradiology.blogspot.com

12 Interesting Facts About Mt Fuji That Will Make Your Visit Even Better
wow-j.com

Pdf Tension Pneumocephalus After Frontal Sinus Fracture Mount Fuji Sign Semantic Scholar
www.semanticscholar.org

Climb Japan S Iconic Mount Fuji Evaneos
www.evaneos.com

Mount Fuji Sign Radiology Case Radiopaedia Org
radiopaedia.org

Mount Fuji Sign Radiology Reference Article Radiopaedia Org
radiopaedia.org

Climbing Mount Fuji Japanvisitor Japan Travel Guide
www.japanvisitor.com

Pneumocephalus Case Illustrations And Review Springerlink
link.springer.com

Mount Fuji Sign After Glioblastoma Multiforme Resection 2020 Aan Science Highlights
cslide-us.ctimeetingtech.com

Emnote Org Emnote
www.emnote.org

Mount Fuji Sign La Neuroimagen Flickr
www.flickr.com

The Mount Fuji Sign Seen On Cross Sectional Imaging Is A Sign That Implies Radiology Emergency Medicine Cerebrospinal Fluid
www.pinterest.com

Agrawal Mount Fuji Sign With Concavo Convex Appearance Of Epidural Haematoma In A Patient With Tension Pneumocephalus
www.radiologycases.com

Mount Fuji Sign High Resolution Stock Photography And Images Alamy
www.alamy.com

Surgeryresident Instagram Posts Gramho Com
gramho.com

Tension Pneumocephalus Case Summaries Forum Online
www.csforumonline.com

Https Encrypted Tbn0 Gstatic Com Images Q Tbn 3aand9gcrk5yoask5qprbapdqkgrqcn67ocsxw Llrbhdn77mggk4ervrv Usqp Cau
encrypted-tbn0.gstatic.com

Medpix Case Tension Pneumocephalus Mount Fuji Sign
medpix.nlm.nih.gov

Https Encrypted Tbn0 Gstatic Com Images Q Tbn 3aand9gctjqur52kqc6odosa Cwf 7zofyn J K2tekp3my2cn04wbt4dk Usqp Cau
encrypted-tbn0.gstatic.com

A Patient With Massive Pneumocephalus Without Sign Of Tension Pneumocephalus Insight Medical Publishing
criticalcare.imedpub.com

Epos Trade
epos.myesr.org

Mount Fuji The Most Famous Mountain In Japan
www.liveabout.com

Pdf Mount Fuji Sign In Tension Pneumocephalus Semantic Scholar
www.semanticscholar.org

Mount Fuji From Where To View Mount Fuji
www.japan-guide.com

Https Www Amjmedsci Com Article S0002 9629 15 30244 5 Pdf

Mount Fuji Sign Radiology Reference Article Radiopaedia Org Radiology Sinusitis Brain Images
www.pinterest.com

Pneumocephalus Wikipedia
en.wikipedia.org

Mount Fuji Facts Location Eruptions Britannica
www.britannica.com

Emdocs Net Emergency Medicine Educationthe Sick Post Neurosurgical Patient Emergency Department Presentation Evaluation And Management Emdocs Net Emergency Medicine Education
www.emdocs.net

Now That Any Idiot Can Send A Selfie From Mount Fuji Have We Hit Peak Wi Fi Wifi The Guardian
www.theguardian.com

Post Traumatic Tension Pneumocephalus The Mount Fuji Sign Irish Medical Journal
imj.ie

Radiology Signs
www.slideshare.net

3d Model Japans Fuji Volcano Mount Turbosquid 1389969
www.turbosquid.com

Cureus Tension Pneumocephalus A Rare Complication Of Transsphenoidal Resection Of A Pituitary Macroadenoma
www.cureus.com

Mount Fuji Sign Is Seen On Cross Sectional Imaging And Implies Tension Pneumocephalus Is Present The Sign Refers To The Pres Radiology Frontal Lobe Vp Shunt
www.pinterest.com

Mount Fuji Sign Tension Pneumocephalus Axial Non Contrast Brain Ct Download Scientific Diagram
www.researchgate.net

Hiking Up Mount Fuji Wanderlust
www.wanderlust.co.uk

Jhecqg5homrpcm

Plos One Bi Frontal Pneumocephalus Is An Independent Risk Factor For Early Postoperative Agitation In Adult Patients Admitted To Intensive Care Unit After Elective Craniotomy For Brain Tumor A Prospective Cohort Study
journals.plos.org

Intens Care Med On Twitter Niv After Skull Base Surgery Tension Pneumocephalus Indicated By The Mount Fuji Sign Https T Co Abo83jegsi
twitter.com

Mount Fuji Wikipedia
en.wikipedia.org

Catch The Sunrise From Mt Fuji Japan S Highest Point The Best Summer Activity
www.tripzilla.com

Mount Fuji Icon On White Background Stock Vector Royalty Free 1322993876
www.shutterstock.com

The Mount Fuji Sign Of The Pneumoperitoneum Emergency Medicine Journal
emj.bmj.com

Laminated Utagawa Hiroshige 13th Station Hara Travellers Passing Mount Fuji Sign Poster 18x12 Inch Poster Foundry
posterfoundry.com

Climbing Mt Fuji Your Complete Guide Compathy Magazine
en.compathy.net

Climb Mt Fuji Fuji Mountain Guides
www.fujimountainguides.com

Mount Fuji Sign Following Nasal Polypectomy Conservative Management Of Pneumocephalus Sciencedirect
www.sciencedirect.com

Climbing Mount Fuji Geotraveller
thegeotraveller.com

Cureus Tension Pneumocephalus After Right Dacryocystorhinostomy A Rare But Potential Serious Complication
www.cureus.com

Mt Fuji Day Tours From Tokyo Book Tokyo Tours Activities Things To Do With Veltra
www.veltra.com

Pneumocephalus Wikipedia
en.wikipedia.org

Mount Fuji Sign Axial Cranial Computed Tomography Through The Level Download Scientific Diagram
www.researchgate.net

Admiring Mount Fuji From A Black Sand Beach The New York Times
www.nytimes.com

Does The Mount Fuji Sign Always Signify Tension Pneumocephalus An Exception And A Reappraisal Sciencedirect
www.sciencedirect.com

Gansomuro Lodge Reviews Fujiyoshida Japan Tripadvisor
www.tripadvisor.com

Climbing Mt Fuji A Complete Guidebook My Tokyo Guide Blog
mytokyoguide.wordpress.com

Mount Fuji Countless Blessings
countlessblessingswithin.wordpress.com

Snow Covered Majestic Mount Fuji Japan Nature Stock Image 1064745914
www.shutterstock.com

Artstation Mount Fuji Flat Art Hasan Raahim
www.artstation.com

Tension Pneumocephalus With Mount Fuji Sign American Journal Of Neuroradiology
www.ajnr.org

Mount Fuji Sign Radiology Reference Article Radiopaedia Org
radiopaedia.org

Mount Fuji At Sunset Home Garden Sign Decorated
yangxi.yardflag.org

Emnote Org Emnote
www.emnote.org

Mount Fuji Sign High Resolution Stock Photography And Images Alamy
www.alamy.com

Mount Fuji National Geographic Society
www.nationalgeographic.org

Mount Fuji Sign While Not Classic For The Typical Peaked Pneumocephalus Note The Compressive Nature Of The Air Collection At The Surgical Site Source Ppt Download
slideplayer.com

Presentation1 Pptx Radiological Classical Signs And Appearances In N
www.slideshare.net

Mount Fuji Sign Following Nasal Polypectomy Conservative Management Of Pneumocephalus Sciencedirect
www.sciencedirect.com

Https Encrypted Tbn0 Gstatic Com Images Q Tbn 3aand9gcsf53ygdgcxn2w2ovqxluloujhhnwwyyw8itoykdau Usqp Cau
encrypted-tbn0.gstatic.com

Https Www Longdom Org Open Access Tension Pneumocephalus With Mount Fuji Sign 2165 8048 1000i117 Pdf

Amazon Com Mount Fuji By Katsushika Hokusai Laminated Dry Erase Sign Poster Art Print 24x36 Posters Prints
www.amazon.com

Mount Fuji Sign After Glioblastoma Multiforme Resection 2020 Aan Science Highlights
cslide-us.ctimeetingtech.com

The Land Of The Rising Sun From Mt Fuji Wherever You Ll Go
whereveryoullgo.com

The Mount Fuji Sign Nejm
www.nejm.org

Mt Fuji Eruption Could Cripple Tokyo Youtube
www.youtube.com

Mount Fuji Sign Operative Neurosurgery
operativeneurosurgery.com

Tension Pneumocephalus Mount Fuji Sign Radiology Case Radiopaedia Org
radiopaedia.org

Pdf A Case Of Tension Pneumocephalus With Mount Fuji Sign Semantic Scholar
www.semanticscholar.org

Mount Fuji Sign Due To Tension Pneumocephalus Is Observed In Axial Ct Download Scientific Diagram
www.researchgate.net

Cureus Tension Pneumocephalus Following Bilateral Craniotomies
www.cureus.com

Pdf Does The Mount Fuji Sign Always Signify Tension Pneumocephalus An Exception And A Reappraisal Sandeep Jakhere Academia Edu
www.academia.edu

Mount Fuji Sign After Glioblastoma Multiforme Resection 2020 Aan Science Highlights
cslide-us.ctimeetingtech.com

Pdf Tension Pneumocephalus The Mount Fuji Sign
www.researchgate.net

Yokoso
www.yokosojapan-tour.com

Mount Fuji Sign Radiology Reference Article Radiopaedia Org
radiopaedia.org

Tension Pneumocephalus Mount Fuji Sign Semantic Scholar
www.semanticscholar.org

Nonenhanced Computed Tomography Axial Sections Of Brain Showing Mount Download Scientific Diagram
www.researchgate.net

Epos Trade
epos.myesr.org

Hanan A Zahed On Twitter The Mount Fuji Sign Seen On Ct Is A Sign That Implies Tension Pneumocephalus Http T Co Jbwxzzajh0
twitter.com

Mount Fuji Sign Springerlink
link.springer.com

Radiology Signs
www.slideshare.net

Mount Fuji Sign Radiology Reference Article Radiopaedia Org
radiopaedia.org

Emnote Org The Mount Fuji Sign Of Tension Pneumocephalus Facebook
www.facebook.com

Mount Fuji Facts Location Eruptions Britannica
www.britannica.com

Https Encrypted Tbn0 Gstatic Com Images Q Tbn 3aand9gcrvhfzlwalfpfubiysg4jfnh Ixkwedxqap698tttk Usqp Cau
encrypted-tbn0.gstatic.com

Mount Fuji Sign Radiology Reference Article Radiopaedia Org
radiopaedia.org

Japanese Climber On Mount Fuji May Have Live Streamed His Own Death East Asia News Top Stories The Straits Times
www.straitstimes.com

close