Tokyo Tour

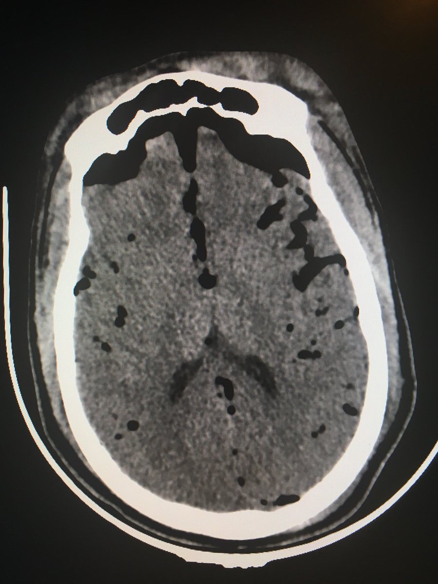
Mount Fuji Sign Radiology

Mount Fuji Sign La Neuroimagen Flickr
www.flickr.com

Mount Fuji Sign Axial Cranial Computed Tomography Through The Level Download Scientific Diagram
www.researchgate.net

Cureus Tension Pneumocephalus Following Bilateral Craniotomies
www.cureus.com

Mount Fuji Sign Is Seen On Cross Sectional Imaging And Implies Tension Pneumocephalus Is Present The Sign Refers To The Pres Radiology Frontal Lobe Vp Shunt
www.pinterest.com

Radiology For Medical Students Posts Facebook
www.facebook.com

Mt Fuji Sign Peripheral Brain
pbrainmd.wordpress.com

Presentation1 Pptx Radiological Classical Signs And Appearances In N
www.slideshare.net

Pdf Tension Pneumocephalus The Mount Fuji Sign
www.researchgate.net

Cureus Tension Pneumocephalus A Rare Complication Of Transsphenoidal Resection Of A Pituitary Macroadenoma
www.cureus.com

Pneumocephalus Wikipedia
en.wikipedia.org

Pdf A Case Of Tension Pneumocephalus With Mount Fuji Sign Semantic Scholar
www.semanticscholar.org

Tension Pneumocephalus Mount Fuji Sign Sumer S Radiology Blog
www.indianradiology.com

Post Traumatic Unilateral Tension Pneumocephalus Eurorad
www.eurorad.org

Tension Pneumocephalus Mount Fuji Sign Sanyal P Bele K Vishwanath Rai Sp Arch Med Health Sci
www.amhsjournal.org

Pdf A Case Of Tension Pneumocephalus With Mount Fuji Sign Semantic Scholar
www.semanticscholar.org

Tension Pneumocephalus Mount Fuji Sign Radiology Case Radiopaedia Org
radiopaedia.org

Epos Trade
epos.myesr.org

Https Encrypted Tbn0 Gstatic Com Images Q Tbn 3aand9gcrr0lguwuuol8zofvhcsgu0cm O6wiaak3bvfzcwy Qbbspzzg Usqp Cau
encrypted-tbn0.gstatic.com

Post Traumatic Tension Pneumocephalus Ct Findings Eurorad
www.eurorad.org

Pneumocephalus The Neurosurgical Atlas By Aaron Cohen Gadol M D
www.neurosurgicalatlas.com

Does The Mount Fuji Sign Always Signify Tension Pneumocephalus An Exception And A Reappraisal Sciencedirect
www.sciencedirect.com

Tension Pneumocephalus Ct Peaking Sign Sumer S Radiology Blog
www.indianradiology.com

Pneumocephalus Wikipedia
en.wikipedia.org

Pdf Mount Fuji Sign Following Subdural Haematoma Evacuation
www.researchgate.net

Pneumocephalus Case Illustrations And Review Springerlink
link.springer.com

Medpix Case Tension Pneumocephalus Mount Fuji Sign
medpix.nlm.nih.gov

2

Https Www Amjmedsci Com Article S0002 9629 15 30244 5 Pdf

2

Surgeryresident Instagram Posts Gramho Com
gramho.com

Mount Fuji Sign After Glioblastoma Multiforme Resection 2020 Aan Science Highlights
cslide-us.ctimeetingtech.com

Mount Fuji Photo Radiology Case Radiopaedia Org
radiopaedia.org

The Mount Fuji Sign Of The Pneumoperitoneum Emergency Medicine Journal
emj.bmj.com

Https Www Birpublications Org Doi Pdf 10 1259 Bjrcr 20150127

A Rare Case Of Iatrogenic Tension Pneumocephalus Ibom Medical Journal
ibommedicaljournal.org

Post Traumatic Tension Pneumocephalus The Mount Fuji Sign Irish Medical Journal
imj.ie

Review Of The Management Of Pneumocephalus Surgical Neurology International
surgicalneurologyint.com

Abc Radiology Blog The Mount Fuji Sign
abcradiology.blogspot.com

Radiology Signs
www.slideshare.net

Mount Fuji Sign Radiology Reference Article Radiopaedia Org
radiopaedia.org

Post Traumatic Tension Pneumocephalus Ct Findings Eurorad
www.eurorad.org

Subdural Tension Pneumocephalus Following Surgery For Chronic Subdural Hematoma In Journal Of Neurosurgery Volume 68 Issue 1 1988
thejns.org

Plos One Bi Frontal Pneumocephalus Is An Independent Risk Factor For Early Postoperative Agitation In Adult Patients Admitted To Intensive Care Unit After Elective Craniotomy For Brain Tumor A Prospective Cohort Study
journals.plos.org

Agrawal Mount Fuji Sign With Concavo Convex Appearance Of Epidural Haematoma In A Patient With Tension Pneumocephalus
www.radiologycases.com

Conquering Mount Fuji Resolution Of Tension Pneumocephalus With A Foley Urinary Catheter
www.hindawi.com

Mount Fuji Sign Due To Tension Pneumocephalus Is Observed In Axial Ct Download Scientific Diagram
www.researchgate.net

Http Pdf Posterng Netkey At Download Index Php Module Get Pdf By Id Poster Id 144397 Congress Ecr2018

Mount Fuji Sign After Glioblastoma Multiforme Resection 2020 Aan Science Highlights
cslide-us.ctimeetingtech.com

Mount Fuji Sign Is Seen On Cross Sectional Imaging And Implies Tension Pneumocephalus Is Present The Sign Refers To The Pres Radiology Medical Imaging Signs
www.pinterest.com

Emnote Org Emnote
www.emnote.org

The Mount Fuji Sign Rcp Journals
www.rcpjournals.org

Emnote Org Emnote
www.emnote.org

Tension Pneumocephalus Mount Fuji Sign Image Radiopaedia Org
radiopaedia.org

Mount Fuji Sign Following Nasal Polypectomy Conservative Management Of Pneumocephalus Sciencedirect
www.sciencedirect.com

Mount Fuji Sign Radiology Reference Article Radiopaedia Org
radiopaedia.org

Mount Fuji Sign Radiology Reference Article Radiopaedia Org
radiopaedia.org

Mount Fuji Sign Following Nasal Polypectomy Conservative Management Of Pneumocephalus Sciencedirect
www.sciencedirect.com

Mount Fuji Sign Operative Neurosurgery
operativeneurosurgery.com

Mount Fuji Sign Due To Tension Pneumocephalus Is Observed In Axial Ct Download Scientific Diagram
www.researchgate.net

Cureus Tension Pneumocephalus After Right Dacryocystorhinostomy A Rare But Potential Serious Complication
www.cureus.com

Tension Pneumocephalus Secondary To Frontal Sinus Fracture Radiology Case Radiopaedia Org
radiopaedia.org

Mount Fuji Sign Tension Pneumocephalus Axial Non Contrast Brain Ct Download Scientific Diagram
www.researchgate.net

Mount Fuji Sign Springerlink
link.springer.com

Hanno Pretorius On Twitter Correct Answer Is Indeed Mount Fuji Sign After The Famous Volcano In Japan Indicative Of Tension Pneumocephalus Requires Urgent Neurosurgical Intervention Another Case Next Week Emergencyradiology Empret 1 Biginjapan
twitter.com

Conquering Mount Fuji Resolution Of Tension Pneumocephalus With A Foley Urinary Catheter
www.hindawi.com

Mount Fuji Sign Radiology Reference Article Radiopaedia Org
radiopaedia.org

Https Encrypted Tbn0 Gstatic Com Images Q Tbn 3aand9gcrpmchslk2jwkhuqkz7ucmbvbcoebciptjy2ujugrpqv Sjxq5g Usqp Cau
encrypted-tbn0.gstatic.com

View Image
www.neurologyindia.com

Https Pdfs Semanticscholar Org 0af1 Ab6f342c0220c3a9efc212cd88d29134984c Pdf

Pdf Mount Fuji Is Not As Active As We Think
www.researchgate.net

Tension Pneumocephalus Radiology Case Radiopaedia Org
radiopaedia.org

Emnote Org The Mount Fuji Sign Of Tension Pneumocephalus Facebook
www.facebook.com

Pdf Emergency Radiology Mount Fuji Sign With Concavo Convex Appearance Of Epidural Haematoma In A Patient With Tension Pneumocephalus Mount Fuji Sign With Concavo Convex Appearance Of Epidural Haematoma In A Patient With Tension
www.researchgate.net

Mount Fuji Sign Radiology Reference Article Radiopaedia Org
radiopaedia.org

Pdf Tension Pneumocephalus The Mount Fuji Sign
www.researchgate.net

The Mount Fuji Sign Radiology
pubs.rsna.org

The Mount Fuji Sign Nejm
www.nejm.org

Epos Trade
epos.myesr.org

Pneumocephalus Deranged Physiology
derangedphysiology.com

Intens Care Med On Twitter Niv After Skull Base Surgery Tension Pneumocephalus Indicated By The Mount Fuji Sign Https T Co Abo83jegsi
twitter.com

Radiology Peripheral Brain
pbrainmd.wordpress.com

View Image
www.ijciis.org

Radiology Peripheral Brain
pbrainmd.wordpress.com

Https Encrypted Tbn0 Gstatic Com Images Q Tbn 3aand9gcrvhfzlwalfpfubiysg4jfnh Ixkwedxqap698tttk Usqp Cau
encrypted-tbn0.gstatic.com

Radiology Signs
www.slideshare.net

Pdf Mount Fuji Sign With Concavo Convex Appearance Of Epidural Haematoma In A Patient With Tension Pneumocephalus Semantic Scholar
www.semanticscholar.org

Epos Trade
epos.myesr.org

Rare Case Of Pneumocephalus Due To A Bronchoatrial Fistula Reported In Nejm
medicaldialogues.in

Mt Fuji Sign Axial View A Of A Head Ct Scan On Bone Window There Download Scientific Diagram
www.researchgate.net

Pdf Tension Pneumocephalus The Mount Fuji Sign
www.researchgate.net

Pdf Tension Pneumocephalus The Mount Fuji Sign
www.researchgate.net

Mount Fuji Sign Radiology Reference Article Radiopaedia Org
radiopaedia.org

Ppt Seeing The Signs Of Radiology Powerpoint Presentation Free Download Id 158707
www.slideserve.com

Https Pubs Rsna Org Doi Pdf 10 1148 Radiol 2322021556

Mount Fuji Sign Is Seen On Cross Sectional Imaging And Implies Tension Pneumocephalus Is Present The Sign Refers To The Pres Radiology Frontal Lobe Vp Shunt
www.pinterest.com

Pneumocephalus Wikipedia
en.wikipedia.org

Https Encrypted Tbn0 Gstatic Com Images Q Tbn 3aand9gcrpmchslk2jwkhuqkz7ucmbvbcoebciptjy2ujugrpqv Sjxq5g Usqp Cau
encrypted-tbn0.gstatic.com


twitter.com

Cureus Tension Pneumocephalus Following Bilateral Craniotomies
www.cureus.com

Mount Fuji Sign Radiology Case Radiopaedia Org
radiopaedia.org

Pdf Does The Mount Fuji Sign Always Signify Tension Pneumocephalus An Exception And A Reappraisal Sandeep Jakhere Academia Edu
www.academia.edu

Mount Fuji Sign Radiology Reference Article Radiopaedia Org
radiopaedia.org

Tension Pneumocephalus After Skull Base Surgery A Case Report And Review Of Literature Sciencedirect
www.sciencedirect.com

Radiology Signs
www.slideshare.net

close