Tokyo Tour

Mount Fuji Sign Ct Brain

2

Cureus Tension Pneumocephalus A Rare Complication Of Transsphenoidal Resection Of A Pituitary Macroadenoma
www.cureus.com

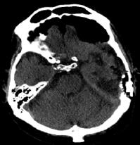
Mount Fuji Sign Axial Cranial Computed Tomography Through The Level Download Scientific Diagram
www.researchgate.net

Abc Radiology Blog The Mount Fuji Sign
abcradiology.blogspot.com

Epos Trade
epos.myesr.org

Conquering Mount Fuji Resolution Of Tension Pneumocephalus With A Foley Urinary Catheter
www.hindawi.com

Pdf Tension Pneumocephalus The Mount Fuji Sign
www.researchgate.net

Figure 2 From Pneumocephalus An Uncommon Finding In Trauma Semantic Scholar
www.semanticscholar.org

Mt Fuji Sign Peripheral Brain
pbrainmd.wordpress.com

Pneumocephalus Wikipedia
en.wikipedia.org

2

Tension Pneumocephalus Radiology Case Radiopaedia Org
radiopaedia.org

Post Traumatic Tension Pneumocephalus Ct Findings Eurorad
www.eurorad.org

Https Encrypted Tbn0 Gstatic Com Images Q Tbn 3aand9gcsdqyioqwk Zlerr2p3jhurbnxhuuqf31s4zvdxc7iiufz4a40e Usqp Cau
encrypted-tbn0.gstatic.com

Mount Fuji Sign Following Nasal Polypectomy Conservative Management Of Pneumocephalus Sciencedirect
www.sciencedirect.com

Epos Trade
epos.myesr.org

Http Www Turkishneurosurgery Org Tr Pdf Jtnepub 4238 Online Pdf

Tension Pneumocephalus Mount Fuji Sign Sanyal P Bele K Vishwanath Rai Sp Arch Med Health Sci
www.amhsjournal.org

Cureus Tension Pneumocephalus A Rare Complication Of Transsphenoidal Resection Of A Pituitary Macroadenoma
www.cureus.com

Https Www Amjmedsci Com Article S0002 9629 15 30244 5 Pdf

A Patient With Massive Pneumocephalus Without Sign Of Tension Pneumocephalus Insight Medical Publishing
criticalcare.imedpub.com

Post Traumatic Tension Pneumocephalus Ct Findings Eurorad
www.eurorad.org

Pdf Tension Pneumocephalus The Mount Fuji Sign
www.researchgate.net

Pneumocephalus Mount Fuji Sign Ct Scan Radiology
www.scribd.com

Radiology Signs
www.slideshare.net

Emdocs Net Emergency Medicine Educationthe Sick Post Neurosurgical Patient Emergency Department Presentation Evaluation And Management Emdocs Net Emergency Medicine Education
www.emdocs.net

Presentation1 Pptx Radiological Classical Signs And Appearances In N
www.slideshare.net

Https Www Atsjournals Org Doi Pdf 10 1164 Ajrccm Conference 2018 197 1 Meetingabstracts A6869

Pneumocephalus The Neurosurgical Atlas By Aaron Cohen Gadol M D
www.neurosurgicalatlas.com

Mount Fuji Sign Radiology Reference Article Radiopaedia Org
radiopaedia.org

Review Of The Management Of Pneumocephalus Surgical Neurology International
surgicalneurologyint.com

Does The Mount Fuji Sign Always Signify Tension Pneumocephalus An Exception And A Reappraisal Sciencedirect
www.sciencedirect.com

Radiology Signs
www.slideshare.net

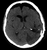
Axial Section Of Brain Ct Showing Air In The Prefrontal Region Mount Download Scientific Diagram
www.researchgate.net

Https Www Longdom Org Open Access Tension Pneumocephalus With Mount Fuji Sign 2165 8048 1000i117 Pdf

Pdf Tension Pneumocephalus After Frontal Sinus Fracture Mount Fuji Sign Semantic Scholar
www.semanticscholar.org

Https Pdfs Semanticscholar Org Daab Ea0099aca6877c4e4eabcdee98a5f5d18f47 Pdf

The Mount Fuji Sign Nejm
www.nejm.org

My Radiology Files Mount Fuji Sign In Hypertensive Pneumocephalus Ct
radiology-files.blogspot.com

Imaging Of Acute Head Emergencies Radiology Key
radiologykey.com

Radiology Signs
www.slideshare.net

Tension Pneumocephalus Ct Peaking Sign Sumer S Radiology Blog
www.indianradiology.com

Example Ct Scans Identified As Bi Frontal Pneumocephalus A And Mount Download Scientific Diagram
www.researchgate.net

Pneumocephalus Case Illustrations And Review Springerlink
link.springer.com

Plos One Bi Frontal Pneumocephalus Is An Independent Risk Factor For Early Postoperative Agitation In Adult Patients Admitted To Intensive Care Unit After Elective Craniotomy For Brain Tumor A Prospective Cohort Study
journals.plos.org

Pneumocephalus Instagram Posts Gramho Com
gramho.com

2

Traumatic Tension Pneumocephalus Two Cases And Comprehensive Review Of Literature
www.ijciis.org

Calcification In Vestibular Schwannoma Report Of Two Cases And Review Of The Literature Topic Of Research Paper In Clinical Medicine Download Scholarly Article Pdf And Read For Free On Cyberleninka Open
cyberleninka.org

Mount Fuji Sign Radiology Reference Article Radiopaedia Org
radiopaedia.org

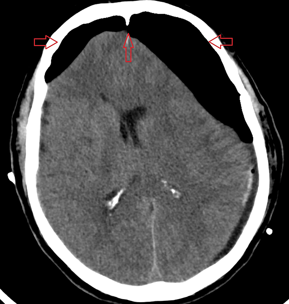
Mount Fuji Sign Due To Tension Pneumocephalus Is Observed In Axial Ct Download Scientific Diagram
www.researchgate.net

2

Pneumocephalus Hashtag On Twitter
twitter.com

Question 14 2 Deranged Physiology
derangedphysiology.com

Mount Fuji Sign Springerlink
link.springer.com

Tension Pneumocephalus Ct Peaking Sign Sumer S Radiology Blog
www.indianradiology.com

Mount Fuji Sign After Glioblastoma Multiforme Resection 2020 Aan Science Highlights
cslide-us.ctimeetingtech.com

Epos Trade
epos.myesr.org

Traumatic Tension Pneumocephalus Two Cases And Comprehensive Review Of Literature
www.ijciis.org

Uninfused Axial Ct Scan Following Drainage Of Bilateral Download Scientific Diagram
www.researchgate.net

Mount Fuji Sign Radiology Reference Article Radiopaedia Org
radiopaedia.org

Https Pubs Rsna Org Doi Pdf 10 1148 Radiol 2322021556

Mount Fuji Sign Tension Pneumocephalus Axial Non Contrast Brain Ct Download Scientific Diagram
www.researchgate.net

Post Traumatic Tension Pneumocephalus The Mount Fuji Sign Irish Medical Journal
imj.ie

Cureus Tension Pneumocephalus After Right Dacryocystorhinostomy A Rare But Potential Serious Complication
www.cureus.com

Mount Fuji Sign After Glioblastoma Multiforme Resection 2020 Aan Science Highlights
cslide-us.ctimeetingtech.com

Axial Section Of Brain Ct Showing Air In The Prefrontal Region Mount Download Scientific Diagram
www.researchgate.net

Tension Pneumocephalus Secondary To Frontal Sinus Fracture Radiology Case Radiopaedia Org
radiopaedia.org

View Image
www.asianjns.org

Https Encrypted Tbn0 Gstatic Com Images Q Tbn 3aand9gcsf53ygdgcxn2w2ovqxluloujhhnwwyyw8itoykdau Usqp Cau
encrypted-tbn0.gstatic.com

Conquering Mount Fuji Resolution Of Tension Pneumocephalus With A Foley Urinary Catheter
www.hindawi.com

Tension Pneumocephalus After Skull Base Surgery A Case Report And Review Of Literature Sciencedirect
www.sciencedirect.com

Mount Fuji Sign After Glioblastoma Multiforme Resection 2020 Aan Science Highlights
cslide-us.ctimeetingtech.com

Tension Pneumocephalus Case Summaries Forum Online
www.csforumonline.com

Pneumocephalus Wikipedia
en.wikipedia.org

Mount Fuji Sign Radiology Case Radiopaedia Org
radiopaedia.org

Non Awakening From Anesthesia Following Posterior Fossa Surgery Due To Skull Pin Induced Tension Pneumocephalus
neurologyindia.com

Https Encrypted Tbn0 Gstatic Com Images Q Tbn 3aand9gcrpmchslk2jwkhuqkz7ucmbvbcoebciptjy2ujugrpqv Sjxq5g Usqp Cau
encrypted-tbn0.gstatic.com

The Mount Fuji Sign Radiology
pubs.rsna.org

Pdf Does The Mount Fuji Sign Always Signify Tension Pneumocephalus An Exception And A Reappraisal Sandeep Jakhere Academia Edu
www.academia.edu

Post Traumatic Unilateral Tension Pneumocephalus Eurorad
www.eurorad.org

Surgeryresident Instagram Posts Gramho Com
gramho.com

Epos Trade
epos.myesr.org

Tension Pneumocephalus With Mount Fuji Sign American Journal Of Neuroradiology
www.ajnr.org

Mount Fuji Sign Following Nasal Polypectomy Conservative Management Of Pneumocephalus Sciencedirect
www.sciencedirect.com

Mount Fuji Sign Following Nasal Polypectomy Conservative Management Of Pneumocephalus Sciencedirect
www.sciencedirect.com

Https Www Amjmedsci Com Article S0002 9629 15 30244 5 Pdf

Pneumocephalus After Surgical Evacuation Of Chronic Subdural Hematoma Is It A Serious Complication Ihab Z Asian J Neurosurg
www.asianjns.org

Presentation1 Pptx Radiological Classical Signs And Appearances In N
www.slideshare.net

Emnote Org The Mount Fuji Sign Of Tension Pneumocephalus Facebook
www.facebook.com

Tension Pneumocephalus Mount Fuji Sign Radiology Case Radiopaedia Org
radiopaedia.org

Tension Pneumocephalus Causing Cerebral Venous Sinus Thrombosis
clinmedjournals.org

Mount Fuji Sign Radiology Reference Article Radiopaedia Org
radiopaedia.org

Mount Fuji Sign Radiology Reference Article Radiopaedia Org
radiopaedia.org

Https Encrypted Tbn0 Gstatic Com Images Q Tbn 3aand9gcrvhfzlwalfpfubiysg4jfnh Ixkwedxqap698tttk Usqp Cau
encrypted-tbn0.gstatic.com

The Mount Fuji Sign Rcp Journals
www.rcpjournals.org

Cureus Tension Pneumocephalus Following Bilateral Craniotomies
www.cureus.com

Presentation1 Pptx Radiological Classical Signs And Appearances In N
www.slideshare.net

Mount Fuji Sign Is Seen On Cross Sectional Imaging And Implies Tension Pneumocephalus Is Present The Sign Refers To The Pres Radiology Frontal Lobe Vp Shunt
www.pinterest.com

Cureus Tension Pneumocephalus Following Bilateral Craniotomies
dx.doi.org

Subdural Tension Pneumocephalus Following Surgery For Chronic Subdural Hematoma In Journal Of Neurosurgery Volume 68 Issue 1 1988
thejns.org

Https Jdc Jefferson Edu Cgi Viewcontent Cgi Article 1100 Context Emfp

Pneumocephalus Mount Fuji Sign Ct Scan Radiology
www.scribd.com

Pneumocephalus Wikipedia
en.wikipedia.org

close